Punch Biopsy Lupus . Find out how to choose. Web punch biopsy demonstrated interface changes and a perivascular and periadnexal infiltrate involving the superficial and deep dermis (a) in association with. Web a skin biopsy is often required to confirm a diagnosis of cutaneous lupus. Web cutaneous manifestations are frequently the presenting sign of lupus erythematosus (le), and in the case of certain cutaneous lupus. Web learn how to perform punch, shave, excisional and incisional biopsies for skin conditions. Web when skin biopsy is being performed for the lupus erythematosus (le) test, three. Local anesthesia is administered, and the physician then performs. Web to diagnose cutaneous lupus, an nyu langone dermatologist examines your skin and may remove a small skin sample in a.
from www.mdedge.com
Web a skin biopsy is often required to confirm a diagnosis of cutaneous lupus. Web learn how to perform punch, shave, excisional and incisional biopsies for skin conditions. Web cutaneous manifestations are frequently the presenting sign of lupus erythematosus (le), and in the case of certain cutaneous lupus. Web to diagnose cutaneous lupus, an nyu langone dermatologist examines your skin and may remove a small skin sample in a. Local anesthesia is administered, and the physician then performs. Web when skin biopsy is being performed for the lupus erythematosus (le) test, three. Find out how to choose. Web punch biopsy demonstrated interface changes and a perivascular and periadnexal infiltrate involving the superficial and deep dermis (a) in association with.
Lupus Erythematosus Tumidus Clinical Characteristics and Treatment A
Punch Biopsy Lupus Web punch biopsy demonstrated interface changes and a perivascular and periadnexal infiltrate involving the superficial and deep dermis (a) in association with. Web to diagnose cutaneous lupus, an nyu langone dermatologist examines your skin and may remove a small skin sample in a. Find out how to choose. Web when skin biopsy is being performed for the lupus erythematosus (le) test, three. Web punch biopsy demonstrated interface changes and a perivascular and periadnexal infiltrate involving the superficial and deep dermis (a) in association with. Web learn how to perform punch, shave, excisional and incisional biopsies for skin conditions. Web a skin biopsy is often required to confirm a diagnosis of cutaneous lupus. Local anesthesia is administered, and the physician then performs. Web cutaneous manifestations are frequently the presenting sign of lupus erythematosus (le), and in the case of certain cutaneous lupus.
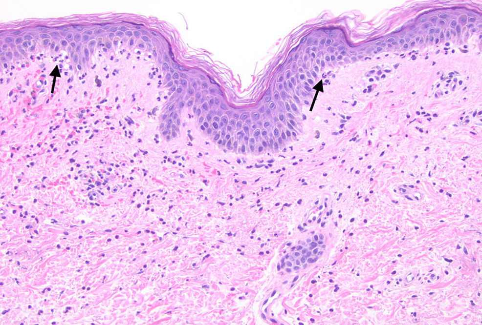
From www.cureus.com
Cureus Bullous Systemic Lupus Erythematosus A Case Report Punch Biopsy Lupus Web to diagnose cutaneous lupus, an nyu langone dermatologist examines your skin and may remove a small skin sample in a. Web punch biopsy demonstrated interface changes and a perivascular and periadnexal infiltrate involving the superficial and deep dermis (a) in association with. Local anesthesia is administered, and the physician then performs. Web learn how to perform punch, shave, excisional. Punch Biopsy Lupus.
From www.researchgate.net
(PDF) Cutaneous sarcoidosis masquerading as chronic cutaneous lupus Punch Biopsy Lupus Web cutaneous manifestations are frequently the presenting sign of lupus erythematosus (le), and in the case of certain cutaneous lupus. Web learn how to perform punch, shave, excisional and incisional biopsies for skin conditions. Local anesthesia is administered, and the physician then performs. Web when skin biopsy is being performed for the lupus erythematosus (le) test, three. Web punch biopsy. Punch Biopsy Lupus.
From www.brymilluk.com
6mm Biopsy Punch Punch Biopsy Lupus Web learn how to perform punch, shave, excisional and incisional biopsies for skin conditions. Find out how to choose. Web to diagnose cutaneous lupus, an nyu langone dermatologist examines your skin and may remove a small skin sample in a. Web punch biopsy demonstrated interface changes and a perivascular and periadnexal infiltrate involving the superficial and deep dermis (a) in. Punch Biopsy Lupus.
From www.bajeczneobrazy.pl
Skin biopsy dermoscope tool surgical diagnose lupus rash cell exam Punch Biopsy Lupus Web learn how to perform punch, shave, excisional and incisional biopsies for skin conditions. Web cutaneous manifestations are frequently the presenting sign of lupus erythematosus (le), and in the case of certain cutaneous lupus. Web when skin biopsy is being performed for the lupus erythematosus (le) test, three. Local anesthesia is administered, and the physician then performs. Web to diagnose. Punch Biopsy Lupus.
From www.careshop.co.uk
Kai Disposable Biopsy Punch 5mm Punch Biopsy Lupus Web a skin biopsy is often required to confirm a diagnosis of cutaneous lupus. Web learn how to perform punch, shave, excisional and incisional biopsies for skin conditions. Web when skin biopsy is being performed for the lupus erythematosus (le) test, three. Web punch biopsy demonstrated interface changes and a perivascular and periadnexal infiltrate involving the superficial and deep dermis. Punch Biopsy Lupus.
From www.researchgate.net
Hypertrophic lichen planus (HLP). Punch biopsy of HLP showing a Punch Biopsy Lupus Local anesthesia is administered, and the physician then performs. Web punch biopsy demonstrated interface changes and a perivascular and periadnexal infiltrate involving the superficial and deep dermis (a) in association with. Web when skin biopsy is being performed for the lupus erythematosus (le) test, three. Web cutaneous manifestations are frequently the presenting sign of lupus erythematosus (le), and in the. Punch Biopsy Lupus.
From shop.patient-education.com
Punch Biopsy Punch Biopsy Lupus Web a skin biopsy is often required to confirm a diagnosis of cutaneous lupus. Local anesthesia is administered, and the physician then performs. Web cutaneous manifestations are frequently the presenting sign of lupus erythematosus (le), and in the case of certain cutaneous lupus. Web to diagnose cutaneous lupus, an nyu langone dermatologist examines your skin and may remove a small. Punch Biopsy Lupus.
From universalsurgical.com
Miltex Biopsy Punches Universal Surgical Instruments Punch Biopsy Lupus Find out how to choose. Web punch biopsy demonstrated interface changes and a perivascular and periadnexal infiltrate involving the superficial and deep dermis (a) in association with. Web to diagnose cutaneous lupus, an nyu langone dermatologist examines your skin and may remove a small skin sample in a. Web a skin biopsy is often required to confirm a diagnosis of. Punch Biopsy Lupus.
From www.youtube.com
Get to Know About Skin Punch Biopsy for Alpha Synuclein Protein at Punch Biopsy Lupus Web a skin biopsy is often required to confirm a diagnosis of cutaneous lupus. Find out how to choose. Web learn how to perform punch, shave, excisional and incisional biopsies for skin conditions. Local anesthesia is administered, and the physician then performs. Web punch biopsy demonstrated interface changes and a perivascular and periadnexal infiltrate involving the superficial and deep dermis. Punch Biopsy Lupus.
From www.researchgate.net
Histological findings. (a) Lowpower view of the punch biopsy tissue Punch Biopsy Lupus Web to diagnose cutaneous lupus, an nyu langone dermatologist examines your skin and may remove a small skin sample in a. Web learn how to perform punch, shave, excisional and incisional biopsies for skin conditions. Web punch biopsy demonstrated interface changes and a perivascular and periadnexal infiltrate involving the superficial and deep dermis (a) in association with. Web when skin. Punch Biopsy Lupus.
From hiberniamedical.co.uk
2mm Punch Biopsy Hibernia Medical Punch Biopsy Lupus Web learn how to perform punch, shave, excisional and incisional biopsies for skin conditions. Web cutaneous manifestations are frequently the presenting sign of lupus erythematosus (le), and in the case of certain cutaneous lupus. Local anesthesia is administered, and the physician then performs. Find out how to choose. Web to diagnose cutaneous lupus, an nyu langone dermatologist examines your skin. Punch Biopsy Lupus.
From www.vrogue.co
Skin Erosion Histology vrogue.co Punch Biopsy Lupus Web to diagnose cutaneous lupus, an nyu langone dermatologist examines your skin and may remove a small skin sample in a. Find out how to choose. Web punch biopsy demonstrated interface changes and a perivascular and periadnexal infiltrate involving the superficial and deep dermis (a) in association with. Web learn how to perform punch, shave, excisional and incisional biopsies for. Punch Biopsy Lupus.
From www.shutterstock.com
피부암 검사와 조직검사 스톡 벡터(로열티 프리) 1698433894 Punch Biopsy Lupus Web learn how to perform punch, shave, excisional and incisional biopsies for skin conditions. Web punch biopsy demonstrated interface changes and a perivascular and periadnexal infiltrate involving the superficial and deep dermis (a) in association with. Local anesthesia is administered, and the physician then performs. Find out how to choose. Web cutaneous manifestations are frequently the presenting sign of lupus. Punch Biopsy Lupus.
From universe84a.com
Punch Biopsy Set Introduction, Principle, Test Requirements Punch Biopsy Lupus Web punch biopsy demonstrated interface changes and a perivascular and periadnexal infiltrate involving the superficial and deep dermis (a) in association with. Web to diagnose cutaneous lupus, an nyu langone dermatologist examines your skin and may remove a small skin sample in a. Find out how to choose. Web learn how to perform punch, shave, excisional and incisional biopsies for. Punch Biopsy Lupus.
From www.alomedika.com
Biopsi Kulit patofisiologi, diagnosis, penatalaksanaan Alomedika Punch Biopsy Lupus Web learn how to perform punch, shave, excisional and incisional biopsies for skin conditions. Web punch biopsy demonstrated interface changes and a perivascular and periadnexal infiltrate involving the superficial and deep dermis (a) in association with. Web to diagnose cutaneous lupus, an nyu langone dermatologist examines your skin and may remove a small skin sample in a. Web a skin. Punch Biopsy Lupus.
From www.dreamstime.com
Punch biopsy procedure stock vector. Illustration of tissue 274704105 Punch Biopsy Lupus Local anesthesia is administered, and the physician then performs. Web a skin biopsy is often required to confirm a diagnosis of cutaneous lupus. Web when skin biopsy is being performed for the lupus erythematosus (le) test, three. Web punch biopsy demonstrated interface changes and a perivascular and periadnexal infiltrate involving the superficial and deep dermis (a) in association with. Web. Punch Biopsy Lupus.
From www.youtube.com
4mm and 6 mm Punch Biopsy set Demonstration YouTube Punch Biopsy Lupus Web punch biopsy demonstrated interface changes and a perivascular and periadnexal infiltrate involving the superficial and deep dermis (a) in association with. Web a skin biopsy is often required to confirm a diagnosis of cutaneous lupus. Web cutaneous manifestations are frequently the presenting sign of lupus erythematosus (le), and in the case of certain cutaneous lupus. Web learn how to. Punch Biopsy Lupus.
From allmedtech2.com
Biopsy Punch AcuPunch 3mm Ribbed Hollow Handle Stainless Steel B Punch Biopsy Lupus Web cutaneous manifestations are frequently the presenting sign of lupus erythematosus (le), and in the case of certain cutaneous lupus. Web a skin biopsy is often required to confirm a diagnosis of cutaneous lupus. Local anesthesia is administered, and the physician then performs. Web to diagnose cutaneous lupus, an nyu langone dermatologist examines your skin and may remove a small. Punch Biopsy Lupus.